smile gallery Mt Pleasant
View Our Smile Gallery
Smile Gallery
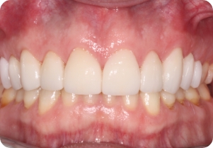
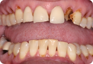
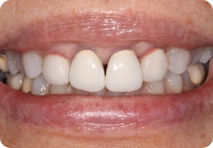
75-year-old patient with failing PFM bridge, missing tooth, and wear.
Repaired with new all porcelain
bridges and crowns on upper teeth.
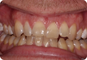
55-year-old patient with severe wear and yellow broken teeth. Repaired by opening vertical with full mouth porcelain crown rehabilitation.
35-year-old patient with uneven smile, chipped and discolored teeth. Repaired with 12 porcelain veneers.
48-year-old patient with gummy smile and worn and discolored teeth. Repaired with gum lengthening and 12 porcelain veneers.
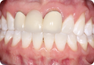
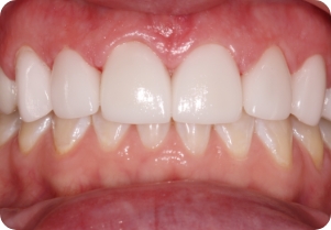
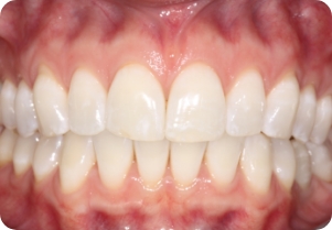
39-year-old patient with old PFM bridge on front 3 teeth. Repaired with new all porcelain bridge and whitening.
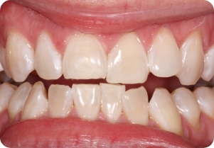
83-year-old patient with old PFM crowns on 3 front teeth. Repaired with 3 new all ceramic crowns.
43-year-old patient with traumatic injury which caused the loss of 2 front teeth. Repaired with all porcelain bridges and crowns to restore upper teeth and bleached lower teeth.
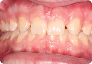
37-year-old patient with yellow teeth and old discolored bonding. Repaired with teeth whitening and new bonding.
46-year-old patient with uneven and discolored upper teeth. Repaired with 12 porcelain veneers.
37-year-old patient with yellow and dark teeth. Repaired with in office and at home bleaching only.
21-year-old patient with yellow small teeth and gummy smile. Repaired with gum lift and 12 minimal prep veneers.
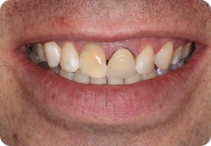
55-year-old patient with old unaesthetic PFM crown on front tooth. Repaired with bleaching and replacement with all ceramic crowns.
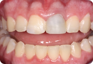
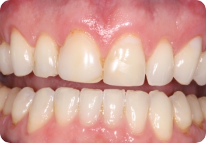
33-year-old patient with discolored front tooth and old crown PFM crown on front tooth. Repaired with 2 all ceramic crowns and bleaching.
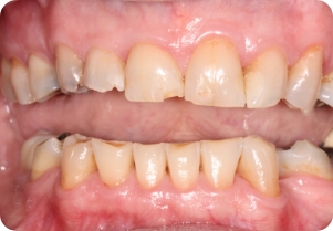
64-year-old patient with broken down and badly damaged teeth. Repaired with all ceramic crowns and bridges.
43-year-old patient with discolored bonding and chipped teeth. Repaired with 12 minimal preparation porcelain veneers.
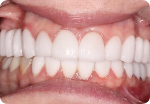
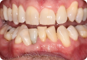
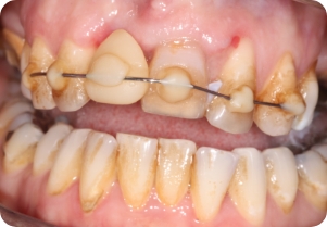
47-year-old patient with periodontal disease and failing PFM crowns.
Repaired with periodontal
treatment and full upper arch porcelain crown.
55-year-old patient with failing bonding and chipped teeth. Repaired with whitening and cosmetic bonding.
36-year-old patient with yellow misaligned teeth and soft tissue problems. Repaired with full mouth orthodontics, gum lift, and whitening.
34-year-old patient with short, yellow and dark teeth. Repaired with 12 porcelain veneers and whitening on lower teeth.
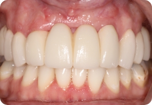
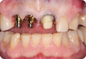
60-year-old patient with badly damaged and missing upper teeth. Repaired with implants and new all ceramic crowns on upper teeth.
26-year-old patient with yellow teeth, old PFM crowns, and chipped teeth. Repaired with bleaching, new all porcelain crowns and bonding.






